

ЕСТЕТСКА СТОМАТОЛОГИЈА
Беспрекорно светлите заби даваат поттик на вашата самодоверба. Но, животот остава свои траги на забите: пукнатини, губење боја или малоклузија. Може да се поправат ситни и големи забни недостатоци и да се овозможи блескава насмевка.
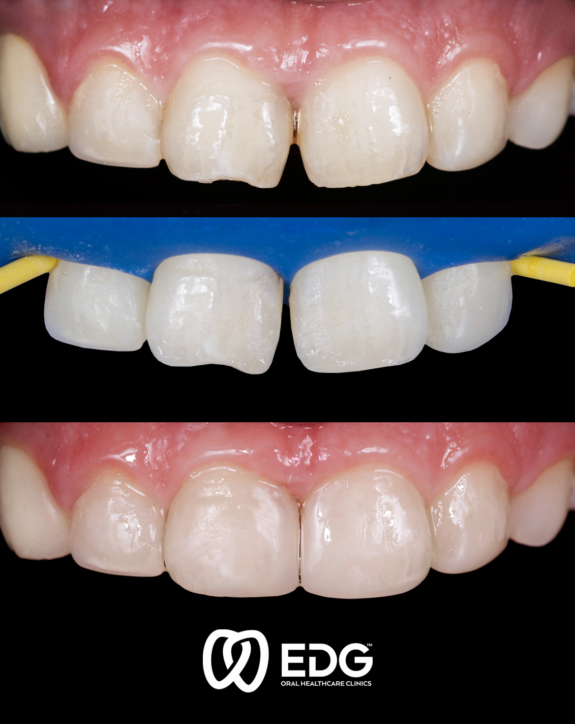
Здравите, убави заби го прават лицето привлечно и се доказ за енергичност, здравје – и успех. Студиите покажуваат дека луѓето со бели заби се поуспешни професионално и во приватниот живот. Затоа, во EDG Hellas, на нашите пациенти им нудиме многу повеќе од третман со болка и заболени заби. Нашите специјално обучени стоматолози настојуваат да обезбедат беспрекорен и блескав забен изглед на нивните пациенти. Нашиот опсег на третман се протега од едноставно белење на забите до бондирање. Веќе постојните несоодветни и обезбоени композитни пломби или кариозни лезии можат да се третираат со високо естетски нано-хибридни композити. За обновување на поголеми дефекти, порцеланот денес е материјал по избор заради извонредните естетски својства, природниот изглед и неговиот долготраен квалитет. Мали обезбојувања, празнини помеѓу забите и големите скршени агли може да се коригираат со ламинати. Фрактурирани заби и заби третирани во коренот по траума повеќе не мора да се отстрануваат. Со помош на фибер-пост системи, тие не само што можат повторно да се вратат функционално, туку и на многу естетски начин. Третманот секогаш започнува со детално испитување и советување за да се интегрираат барањата и индивидуалните желби на пациентот во планот за третман.

Опсег на услуги
Забите често се одлучувачки при првиот впечаток. Самоуверена насмевка со здрави, бели заби се чини доста привлечна. Ви ги нудиме сите опции на модерната естетска стоматологија за да ги направите забите повторно да заблескаат.
Закажете термин
[layerslider id=”2″ /]











