

КОНЗЕРВАТИВНА СТОМАТОЛОГИЈА и ПАРОДОНТОЛОГИЈА
Целта на конзервативната стоматологија и пародонтологија е да ја зачува здравата забна супстанција што е можно подолго со помош на најновите сознанија од стоматологијата.
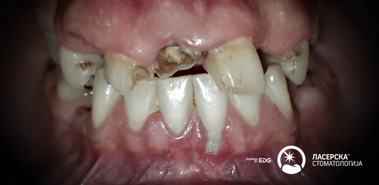
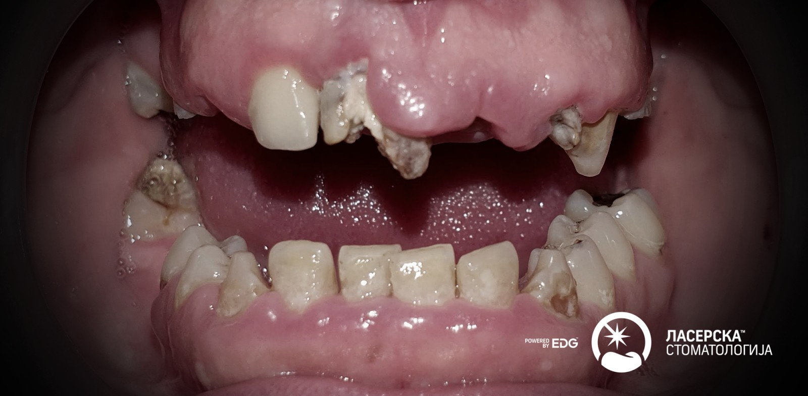
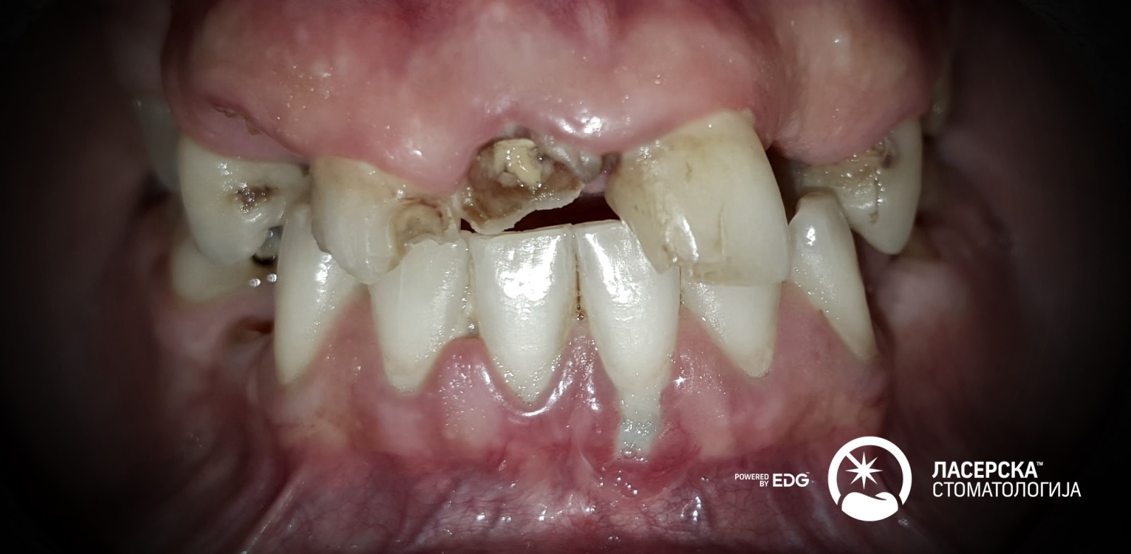
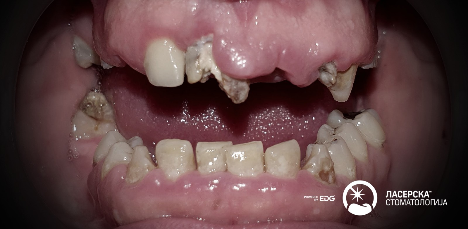
Отстрануваме забен материјал што може да биде засегнат од кариес и нанесуваме материјали за полнење во боја на забите, како што се композити, на погодените области. Пополнуваме поголеми празнини со навлаки, инлеи и онлеи, коронки или мостови, изработени во нашата внатрешна заботехничка лабораторија. Овие реставрации се во согласност со тековните меѓународни стандарди и се речиси невидливи.
На здравите заби исто така им треба здраво прицврстување. Нашиот оддел за пародонтологија е контакт место за сите оние кои имаат проблеми со пародонтот. Нашите експерти во пародонтологијата обезбедуваат широка конзервативна, како и хируршка пародонтална терапија според најновите меѓународни стандарди.
Опсег на услуги за конзервативна стоматологија
За лекување и грижа за заболените заби, користиме современи, конзервативни методи кои зачувуваат што е можно повеќе од забната супстанција и ја задржуваат естетиката на забите.
Опсег на услуги за пародонтологија и профилакса
Крварење на непцата, пародонтални џебови, отоци или повлечени непца, како и халитоза, се показател за заболувања на пародонтот.

Видеа
Закажете термин
[layerslider id=”2″ /]






























